ΚΛΙΝΙΚΑ ΣΤΟΙΧΕΙΑ – ΙΣΤΟΡΙΚΟ

Ανώδυνος ίκτερος και παθολογικά ηπατικά ένζυμα. Ιστορικό πιθανής σκληρυντικής χολαγγειίτιδας

ΑΠΕΙΚΟΝΙΣΤΙΚΟΣ ΕΛΕΓΧΟΣ

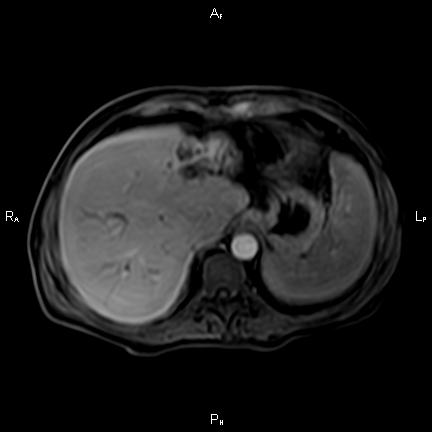
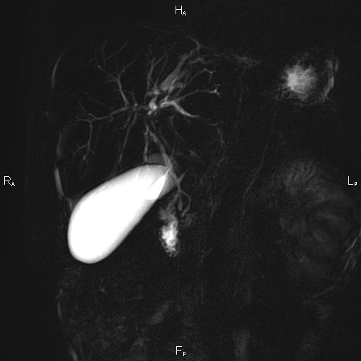
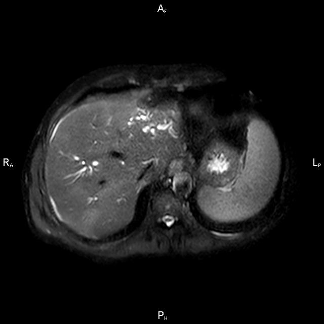
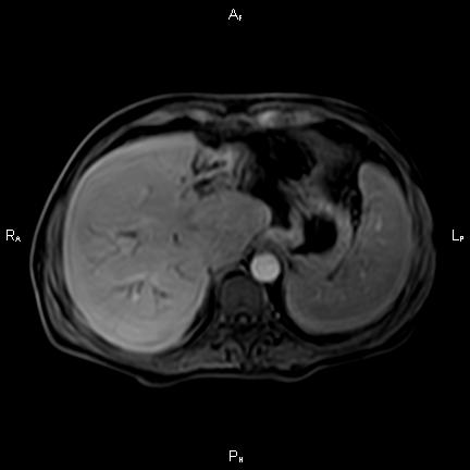
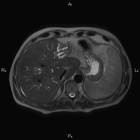
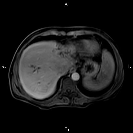
Μαγνητική τομογραφία.

Παρουσία

ΣΥΖΗΤΗΣΗ – ΑΝΑΦΟΡΕΣ – ΒΙΒΛΙΟΓΡΑΦΙΑ

Η πρωτοπαθής σκληρυντική χολαγγειίτιδα (ΠΣΧ) είναι αυτοάνοση νόσος που προκαλεί καταστροφή των ενδοηπατικών και εξωηπατικών χοληφόρων πόρων. Η αιτιοπαθογένεια της νόσου δεν έχει διευκρινιστεί, αλλά το ανοσολογικό σύστημα παίζει σπουδαίο ρόλο στη γένεση της. Η νόσος μπορεί να συνυπάρχει με φλεγμονώδη νοσήματα του εντέρου ιδιαίτερα την ελκώδη κολίτιδα και άλλα νοσήματα με αυτοάνοσο υπόστρωμα όπως η νόσος Graves και ο σακχαρώδης διαβήτης τύπου 1. Σαν αίτια της νόσου έχουν επίσης ενοχοποιηθεί λοιμώδεις παράγοντες (CMV, Cryptosporidium, Chlamydia) και τοξικές ουσίες.

Είναι μια προοδευτικά εξελισσόμενη νόσος. Έχουν αναγνωριστεί τέσσερα στάδια:

  1. Η ασυμπτωματική φάση όπου υπάρχουν μόνο απεικονιστικά (ακτινολγικά) ευρήματα
  2. Η βιοχημική φάση όπου ο άρρωστος παραμένει ασυμπτωματικός, αλλά υπάρχει αύξηση κυριώς της αλκαλικής φωσφατάσης και χολερυθρίνης και λιγότερο των τρανσαμινασών
  3. Η συμπτωματική φάση, όπου κυριαρχούν τα συμπτώματα χολόστασης και ηπατικής βλάβης, δηλαδή ίκτερος, κνησμός και κόπωση
  4. Η εμφάνιση μη αντιρροπούμενης κίρρωσης, με ασκίτη, εγκεφαλοπάθεια και αιμορραγία κιρσών.

Η διάγνωση της βασίζεται στα τυπικά χολαγγειογραφικά ευρήματα κατά την μαγνητική και την ενδοσκοπική παλίνδρομη χολαγγειοπαγκρεατογραφία (MRCP-ERCP).

Ειδική θεραπεία εκτός από την μεταμόσχευση ήπατος δεν υπάρχει. Τα ανοσοκατασταλτικα φάρμακα όπως η αζαθιοπρίνη, η μεθοτρεξάτη, η κυκλοσπορίνη και η κορτιζόνη δεν έχουν δείξει κάποιο θεραπευτικό όφελος. Το ουρσοδεοξυχολικό οξύ ίσως βοηθάει. Η θεραπευτική προσέγγιση εστιάζεται στην αντιμετώπιση των επιπλοκών της νόσου, με αντιβιοτικά όπως η σιπροφλοξασίνη (ciprofloxacin) στα επεισόδια αυτόματης βακτηριακής περιτονίτιδας, χολεστυραμίνη (cholestyramine), οπιοειδή και πλασμαφαίρεση για τον κνησμό, συμπληρώματα βιταμινων A,D,K για την δυσαπορρόφηση ώστε να αντιμετωπιστούν η οστεοπόρωση και οι πηκτικές διαταραχές.

Σε περίπτωση επιδείνωσης του ίκτερου μπορούν να χρησιμοποιηθούν παροχετεύσεις των χοληφόρων. Οι παροχετεύσεις γίνονται είτε από από γαστρεντερολόγους, με μη επεμβατικές αναίμακτες ενδοσκοπικές μεθόδους, είτε από χειρουργούς με εγχείρηση.

Το χολαγγειοκαρκίνωμα (ΧΚ) ή καρκίνωμα των χοληφόρων είναι όγκος προερχόμενος από τα χοληφόρα (επιθήλιο), μπορεί δε να εμφανιστεί οπουδήποτε κατά μήκος του χοληφόρου δέντρου, από τους κεντρικότερους ενδοηπατικούς κλάδους μέχρι τον περιφερικό εντός του δωδεκαδακτύλου χοληδόχο πόρο. Ανάλογα με την ανατομική εντόπιση το ΧΚ διακρίνεται σε 3 τύπους (εικόνα 1):

  1. Ενδοηπατικό (κεντρικό), με συχνότητα εμφάνισης 10-20%, το οποίο ορίζεται ως αυτό που περιορίζεται στο ήπαρ, χωρίς να συμμετέχουν τα εξωηπατικά χοληφόρα.
  2. Περιπυλαίο (όγκος του Klatskin από το όνομα αυτού που ήταν από τους πρώτους που το περιέγραψαν το 1965), με συχνότητα εμφάνισης 50-60%. Αυτό ορίζεται ως το ΧΚ που προέρχεται από ή για τη θεραπεία του οποίου πρέπει να εκταμεί η συμβολή των ηπατικών πόρων, τυπικά δε εντοπίζεται στα εξωηπατικά χοληφόρα κεντρικότερα του κυστικού πόρου.
  3. Περιφερικό, με συχνότητα εμφάνισης 30-40% το οποίο ορίζεται ως το προερχόμενο από τα εξωηπατικά χοληφόρα, περιφερικότερα του κυστικού πόρου και μέχρι το φύμα του Vater.

Ο πρώτος τύπος ονομάζεται και κεντρικό ΧΚ, ενώ οι δύο άλλοι ως ΧΚ ή καρκίνωμα των εξωηπατικών χοληφόρων.

Το ΧΚ είναι ένα αρκετά σπάνιο νεόπλασμα, αφορά δε το 2% του συνόλου των κακοήθων νεοπλασμάτων και το 3% των κακοήθων νεοπλασμάτων του γαστρεντερικού (ΓΕΣ). Η ετήσια επίπτωση στις Ηνωμένες Πολιτείες της Αμερικής είναι 1:100.000, φαίνεται δε ότι αυξάνεται συνεχώς. Η συχνότητα του χολαγγειοκαρκινώματος αυξάνει με την ηλικία, ενώ ο μέσος όρος εμφάνισης της νόσου κυμαίνεται μεταξύ 50-70 ετών. Σύμφωνα με στατιστικά δεδομένα, η συχνότητα εμφάνισης σε άντρες και γυναίκες αναδεικνύει μια μικρή υπεροχή για το ανδρικό φύλλο 1,3:1. Ο μέσος όρος επιβίωσης χωρίς καμία θεραπευτική παρέμβαση σπάνια υπερβαίνει τους 6 μήνες.

Μια σειρά από προδιαθεσικούς παράγοντες έχουν συνδεθεί με την εμφάνιση της νόσου (εικόνα 2). Οι περισσότεροι από αυτούς σχετίζονται με τη χρόνια χολόσταση και με την επιμόλυνση της χολής ή με συνδυασμό αυτών των δύο.

Στους Έλληνες ασθενείς ο κύριος προδιαθεσικός παράγων είναι η κίρρωση του ήπατος και η πρωτοπαθής σκληρυντική χολαγγειίτιδα (PSC).
Το ΧΚ αποτελεί τη σοβαρότερη επιπλοκή της πρωτοπαθούς σκληρυντικής χολαγγειίτιδας με συχνότητα 6% με 15% μεταξύ των πασχόντων. Η συχνότητά του αυξάνεται ανάλογα με τη χρονική διάρκεια της φλεγμονώδους πάθησης του ήπατος και της συνυπάρχουσας συνήθως κολίτιδας, καθώς και στους ασθενείς που έχει αναπτυχθεί κίρρωση του ήπατος.

Τα τελευταία χρόνια έχουν αναφερθεί αρκετές περιπτώσεις ανάπτυξης χολαγγειοκαρκινώματος σε ασθενείς που είχαν υποβληθεί στο παρελθόν σε κάποια χολοπεπτική αναστόμωση, με αποτέλεσμα αρκετοί ερευνητές να υποστηρίζουν ότι το ΧΚ αποτελεί πιθανή επιπλοκή των επεμβάσεων αυτών, ιδιαίτερα δε μετά από σφιγκτηροπλαστική ή χοληδοχοδωδεκαδακτυλική αναστόμωση. Η συχνότητα εμφάνισης ΧΚ για τους ασθενείς αυτούς είναι υψηλότερη σε σχέση με αυτούς που είχαν υποβληθεί σε χοληδοχονηστιδική αναστόμωση, καθώς και σε σχέση με το γενικό πληθυσμό.

Άλλοι παράγοντες που έχουν επίσης αναφερθεί ότι έχουν σχέση με την ανάπτυξη ΧΚ είναι το χοληφόρο αδένωμα, η πολλαπλή θηλωμάτωση των χοληφόρων, η νόσος του Caroli (κυστική διάταση των ενδοηπατικών χοληφόρων) και το κάπνισμα. Ακόμα είναι γνωστή η σχέση των αδενωμάτων του φύματος του Vater, ειδικά όταν είναι λαχνωτά, με την ανάπτυξη αδενοκαρκινώματος που πρακτικά ανήκει στα ΧΚ, αν και εξετάζεται τις περισσότερες φορές ξεχωριστά ως περιληκυθικό νεόπλασμα. Όμως παρόλα αυτά πολλές περιπτώσεις ΧΚ αναπτύσσονται σε ασθενείς χωρίς κάποιο γνωστό αιτιολογικό παράγοντα.

Ιστοπαθολογική εικόνα

Στο 95% των περιπτώσεων το ΧΚ πρόκειται για αδενοκαρκίνωμα, το οποίο είναι υψηλής, μετρίας ή χαμηλής διαφοροποίησης. Ιστολογικά το ΧΚ μπορεί να είναι θηλώδους, οζώδους και σκληρυντικού τύπου, με τη θηλώδη έκφραση να έχει την καλύτερη των προ- γνώσεων σε σχέση με τους άλλους 2 τύπους. Οι θηλώδεις όγκοι συνήθως εμφανίζονται ως καλά διαφοροποιημένοι, αλλά έχουν την τάση να είναι πολυεστιακοί, μπορούν δε να παρουσιαστούν με πολλαπλές βλάβες εντός του χοληφόρου δένδρου. Οι όγκοι με τη χειρότερη πρόγνωση είναι εκείνοι με το σκληρυντικό τύπο, οι οποίοι συνήθως είναι χαμηλής διαφοροποίησης. Οι όγκοι με αυτόν τον ιστολογικό τύπο χαρακτηρίζονται από την περιπυλαία ανατομική τους εντόπιση, προκαλούν δε κατ’ αυτόν τον τρόπο ταχεία διήθηση των αγγειακών δομών της ηπατικής πύλης, τη στιγμή που οι όγκοι με το θηλώδη και τον οζώδη ιστολογικό τύπο συνδυάζονται τις περισσότερες φορές με πιο περιφερική εντόπιση.

Το ΧΚ είναι στην αρχή τοπική νόσος, η οποία χαρακτηρίζεται από αργή ανάπτυξη και επιχώρια επέκταση, καθώς και από συχνές μεταστάσεις στους επιχώριους λεμφαδένες. Έτσι λοιπόν οι βλάβες των εξωηπατικών χοληφόρων δύνανται να προκαλούν πιεστικά φαινόμενα αλλά κυρίως να διηθούν την υποκείμενη πυλαία φλέβα ή την ηπατική αρτηρία, ενώ ειδικά για τον πυλαίο τύπο μπορεί να επεκτείνονται και ενδοηπατικά, ειδικά δε προς το τμήμα Ι (κερκοφόρο λοβό) του ήπατος (36%). Η αιματογενής διασπορά θεωρείται σπάνια, συμβαίνει δε αργά και προς το τέλος της φυσικής πορείας της νόσου. Οι απομεμακρυσμένες μεταστατικές εστίες θεωρούνται σπάνιο εύρημα. Τα πιο συχνά προσβαλλόμενα όργανα είναι οι πνεύμονες και τα οστά και φυσικά και το ίδιο το ήπαρ. Η διάγνωση των μεταστάσεων τίθεται με την α/α θώρακος, την ΑΤ και το σπινθηρογράφημα των οστών.

Άλλοι όγκοι των χοληφόρων με εικόνα ΧΚ (5%) είναι το πλακώδες καρκίνωμα, το μικροκυτταρικό καρκίνωμα, καθώς και οι μεσεγχυματικοί όγκοι. Τελικά όλοι οι όγκοι της κοιλίας μπορεί με απευθείας διήθηση να επεκταθούν στα εξωηπατικά χοληφόρα, όπως ο καρκίνος του παγκρέατος, του στομάχου και του παχέος εντέρου ή να δώσουν μεταστάσεις επί του ηπατοδωδεκαδακτυλικού συνδέσμου και να δώσουν επίσης την εντύπωση ΧΚ, όπως οι όγκοι της ωοθήκης του μαστού και του παχέος εντέρου ή κυρίως η μεταστατική διήθηση των λεμφαδένων του ηπατοδωδεκαδακτυλικού συνδέσμου.

Συμπτώματα

Η συμπτωματολογία του χολαγγειοκαρκινώματος θα μπορούσε να χαρακτηριστεί ως μη ειδική. Περίπου στο 90% των περιπτώσεων των ασθενών με περιπυλαία ή περιφερική εντόπιση του όγκου το προεξάρχον κλινικό εύρημα είναι ο ανώδυνος αποφρακτικός ίκτερος. Λιγότερο συνήθη συμπτώματα αποτελούν ο κνησμός, το ήπιο κοιλιακό άλγος, η καταβολή και η απώλεια δυνάμεων, η ανορεξία, η απώλεια βάρους και σπάνια η εμπύρετος συνδρομή.

Στις περιπτώσεις ενδοηπατικής εντόπισης του όγκου, ο ίκτερος είναι σπάνιος, η δε κύρια κλινική εκδήλωση χαρακτηρίζεται από ένα ασαφές επιγαστρικό άλγος, σε συνδυασμό με καταβολή και απώλεια δυνάμεων. Συμπτώματα συμβατά με χολαγγειίτιδα, είναι σχετικά σπάνια (10-30% των ασθενών) πριν από τη διάγνωση της νόσου, ενώ μετά από αυτήν μπορεί να είναι αποτέλεσμα των χειρισμών στα χοληφόρα με ενδοσκοπικές ή διαδερμικές τεχνικές για την ανακούφιση του ικτέρου.

Εργαστηριακές εξετάσεις

Η διάγνωση τίθεται με τις εξετάσεις του αίματος και τις απεικονιστικές εξετάσεις. Η πλειονότητα των ασθενών με περιπυλαίο ΧΚ (Klatskin) ή περιφερικής εντόπισης παρουσιάζουν τιμές ολικής χολερυθρίνης ορού μεγαλύτερες από 10 mg/ dl, με σημαντική υπεροχή της αμέσου συνδεδεμένης μορφής. Ιδιαίτερα αυξημένες τιμές παρουσιάζουν επίσης τα χολοστατικά ένζυμα (Αλκαλική φωσφατάση και η γ-GT).

Ενδιαφέρον όμως παρουσιάζουν τα περιπυλαία χολαγγειοκαρκινώματα, κεντρικότερα του διχασμού του κοινού ηπατικού πόρου, δηλαδή όγκοι που προέρχονται από τα καλούμενα χοληφόρα 1ης τάξης (ηπατικοί πόροι, 1st order division). Οι όγκοι αυτοί καταλαμβάνουν τον ένα από τους δύο ηπατικούς πόρους, με αποτέλεσμα να παρατηρείται σημαντική αύξηση της αλκαλικής φωσφατάσης (AΦ) και της γ-γλουταμικής τρανσπεπτιδάσης (γ-GT), χωρίς ιδιαίτερη αύξηση της χολερυθρίνης. Η αιματολογική αυτή εικόνα αντιπροσωπεύει ένα εργαστηριακό πρότυπο (model) που οφείλει να εγείρει υποψίες για κακοήθη πάθηση των χοληφόρων και απαιτεί άμεση διάγνωση. Το ίδιο συμβαίνει και για τα κεντρικότερα χολαγγειοκαρκινώματα από τα 2ης τάξης (2nd order division και κεντρικότερα όμως αυτά περιλαμβάνονται στα κεντρικά χολαγγειoκαρκινώματα).

Οι πιο συχνοί καρκινικοί δείκτες που ανευρίσκονται αυξημένοι στον ορό των ασθενών με ΧΚ είναι το CEA, το CA 19-9 και το CA-50. Ειδικότερη όλων ωστόσο θεωρείται η εκτίμηση του CA 19-9 σε συνδυασμό με το CEA. Δεν θα πρέπει όμως σε καμία των περιπτώσεων να λησμονείται το γεγονός ότι οι δείκτες αυτοί ανευρίσκονται αυξημένοι και σε άλλες κακοήθεις εξεργασίες του γαστρεντερικού και η ερμηνεία τους πρέπει να γίνει από ειδικούς.

Τα τελευταία χρόνια ιδιαίτερο ενδιαφέρον παρουσιάζει η χρησιμοποίηση των δεικτών αυτών σε ασθενείς πάσχοντες από παθήσεις, οι οποίες θεωρούνται προδιαθεσικές για το χολαγγειοκαρκίνωμα (κυρίως πρωτοπαθής σκληρυντική χολαγγειίτιδα και κύστεις του χοληδόχου πόρου), ως εργαλεία για την έγκαιρη ανίχνευση τυχόν καρκινικής εξαλλαγής. Στην ίδια κατεύθυνση επίσης, από πολλούς ερευνητές υποστηρίζεται, ότι η μέτρηση των δεικτών αυτών (κυρίως του CEA) στη χολή των ασθενών με πρωτοπαθή σκληρυντική χολαγγειίτιδα, μπορεί να αυξήσει ακόμη περισσότερο τη διαγνωστική τους αξία στην έγκαιρη ανίχνευση του χολαγγειοκαρκινώματος.

Απεικονιστικός έλεγχος

Οι στόχοι του απεικονιστικού ελέγχου στους ασθενείς με ΧΚ περιλαμβάνουν την απεικόνιση του όγκου και των ορίων του, την ανίχνευση της συμμετοχής του ήπατος και των αγγείων της ηπατικής πύλης, καθώς επίσης και την εντόπιση τυχόν μεταστάσεων.

Οι αρχικές εξετάσεις εκλογής, όσον αφορά τον απεικονιστικό κυρίως έλεγχο, σε ασθενή προσερχόμενο στο Νοσοκομείο με αποφρακτικό ίκτερο, είναι το υπερηχογράφημα και η αξονική τομογραφία. Οι εξετάσεις αυτές έχουν αποδειχθεί ικανές να προσδώσουν έμμεσα και άμεσα στοιχεία για τη διάγνωση του χολαγγειοκαρκινώματος, όμως κυρίαρχη εξέταση για την διάγνωση του χολαγγειοκαρκινώματος είναι η μαγνητική τομογραφία (MRI, MRCP, MRA).