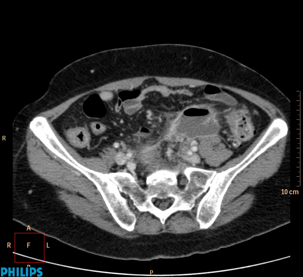
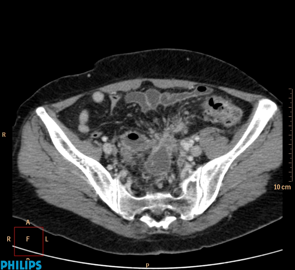
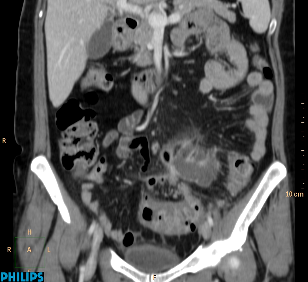
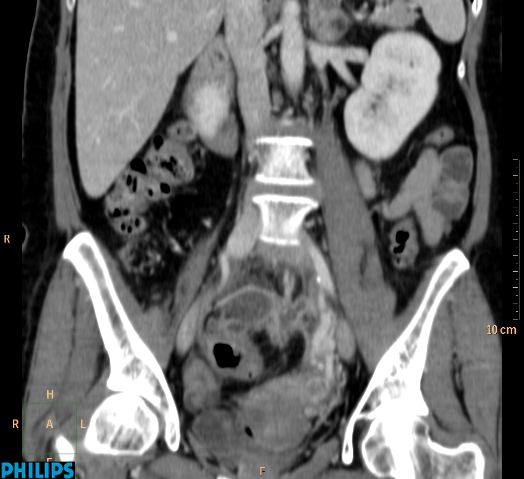
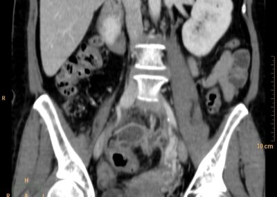
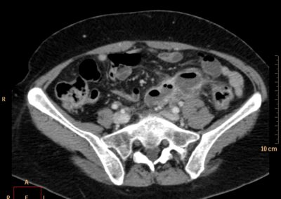
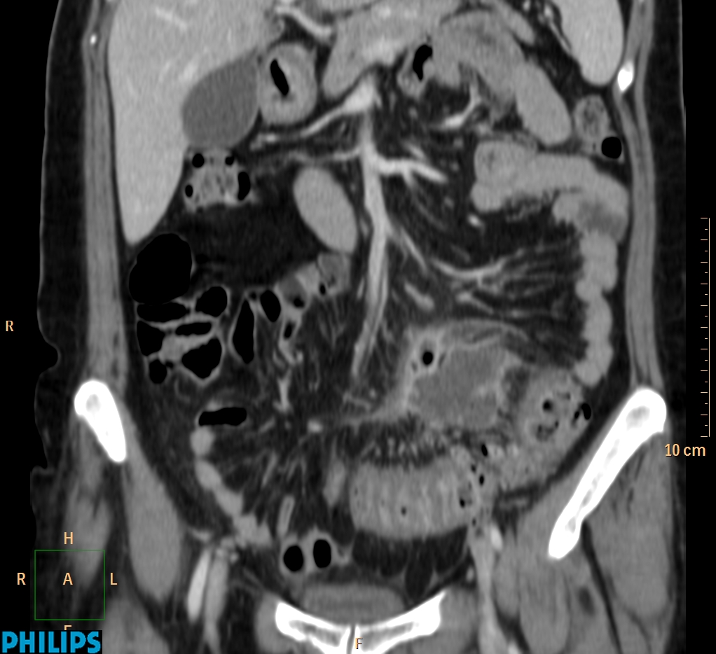
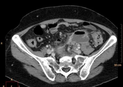
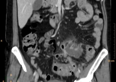
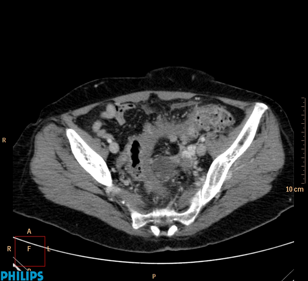
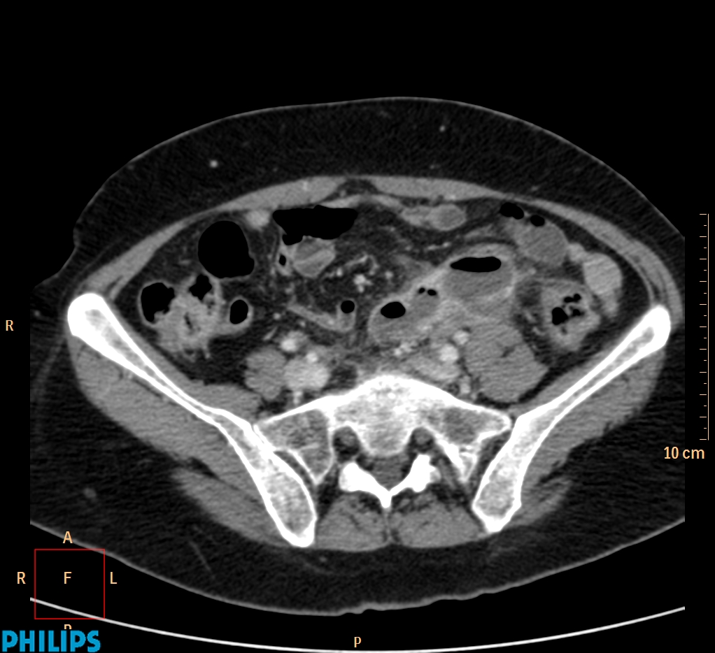
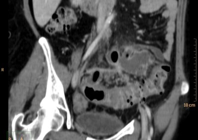
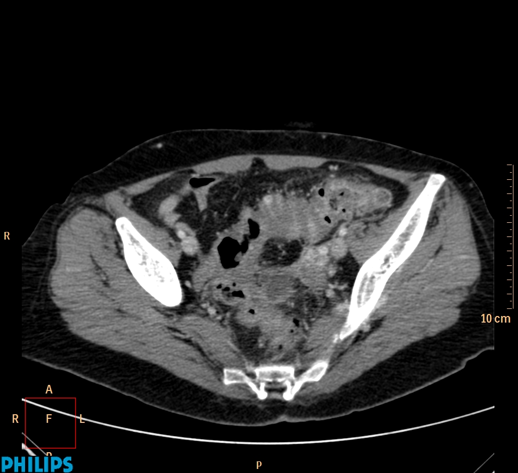
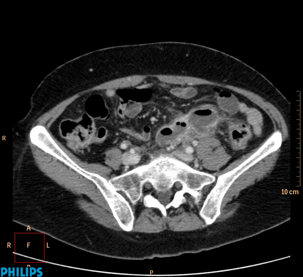
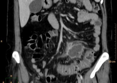
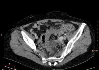
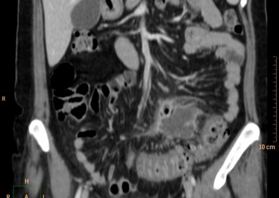
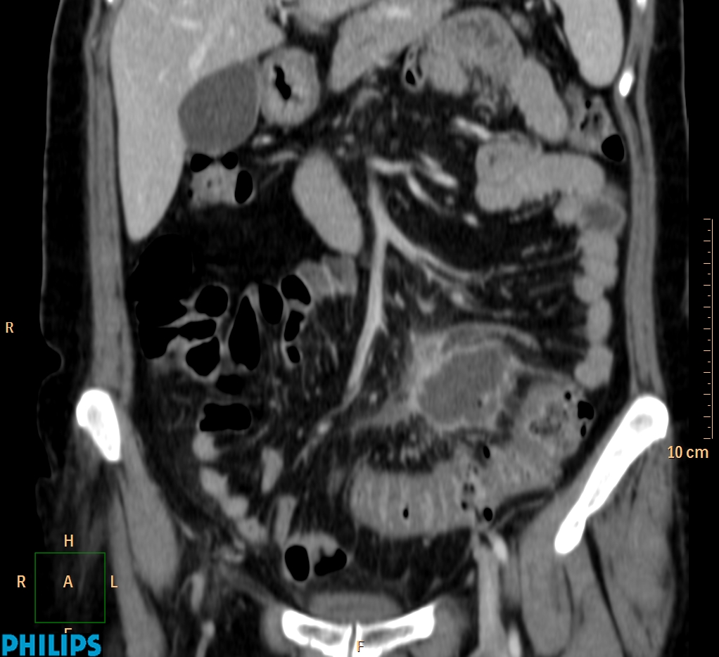
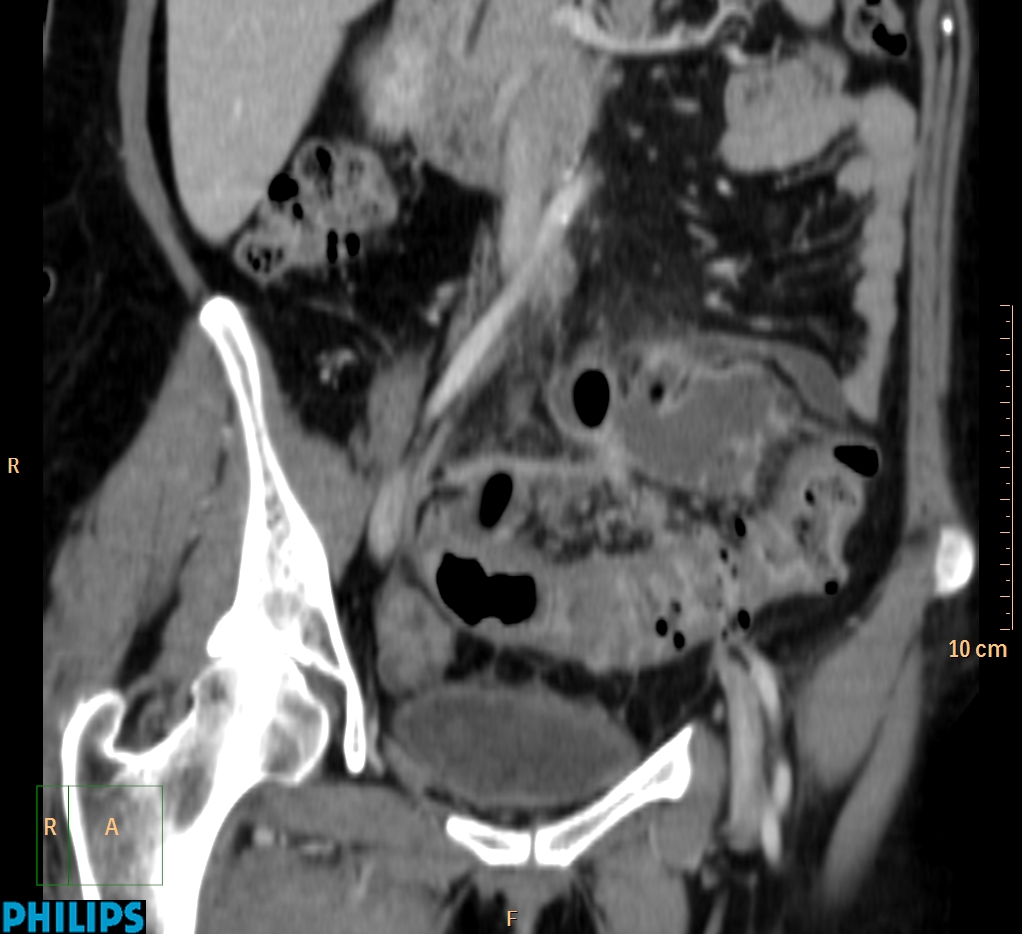
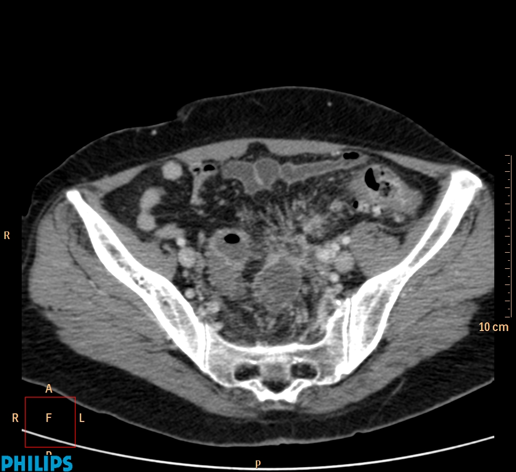
ΕΚΚΟΛΠΩΜΑΤΑ ΠΑΧΕΟΣ ΕΝΤΕΡΟΥ Posted by ΙΠΠΟΚΡΑΤΕΙΟ ΙΩΑΝΝΙΝΩΝ | Dec 16, 2020 | ΠΕΠΤΙΚΟ | 0 ΚΛΙΝΙΚΑ ΣΤΟΙΧΕΙΑ – ΙΣΤΟΡΙΚΟ υποτροπιάζοντες επαναλαμβανόμενοι πυρετοί κυρίως απογευματινές ώρες ΕΡΓΑΣΤΗΡΙΑΚΟΣ ΕΛΕΓΧΟΣ ΑΠΕΙΚΟΝΙΣΤΙΚΟΣ ΕΛΕΓΧΟΣ διακρίνονται τα αποστήματα στην ελάσσονα πύελο, καθώς και εκκολπώματα με εικόνα πάχυνσης του τοιχώματος του σιγμοειδούς ΣΥΖΗΤΗΣΗ