ΚΛΙΝΙΚΑ ΣΤΟΙΧΕΙΑ – ΙΣΤΟΡΙΚΟ

προκάρδιο άλγος, με αρνητικό test κόπωσης και λοιπό έλεγχο

ΕΡΓΑΣΤΗΡΙΑΚΟΣ ΕΛΕΓΧΟΣ

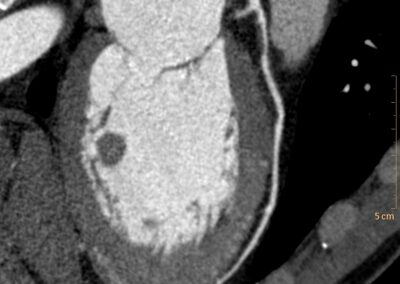
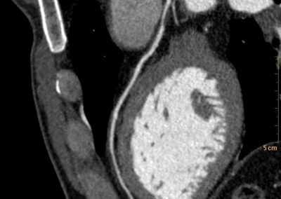
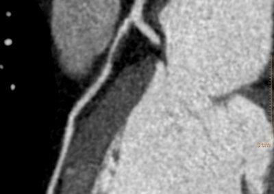
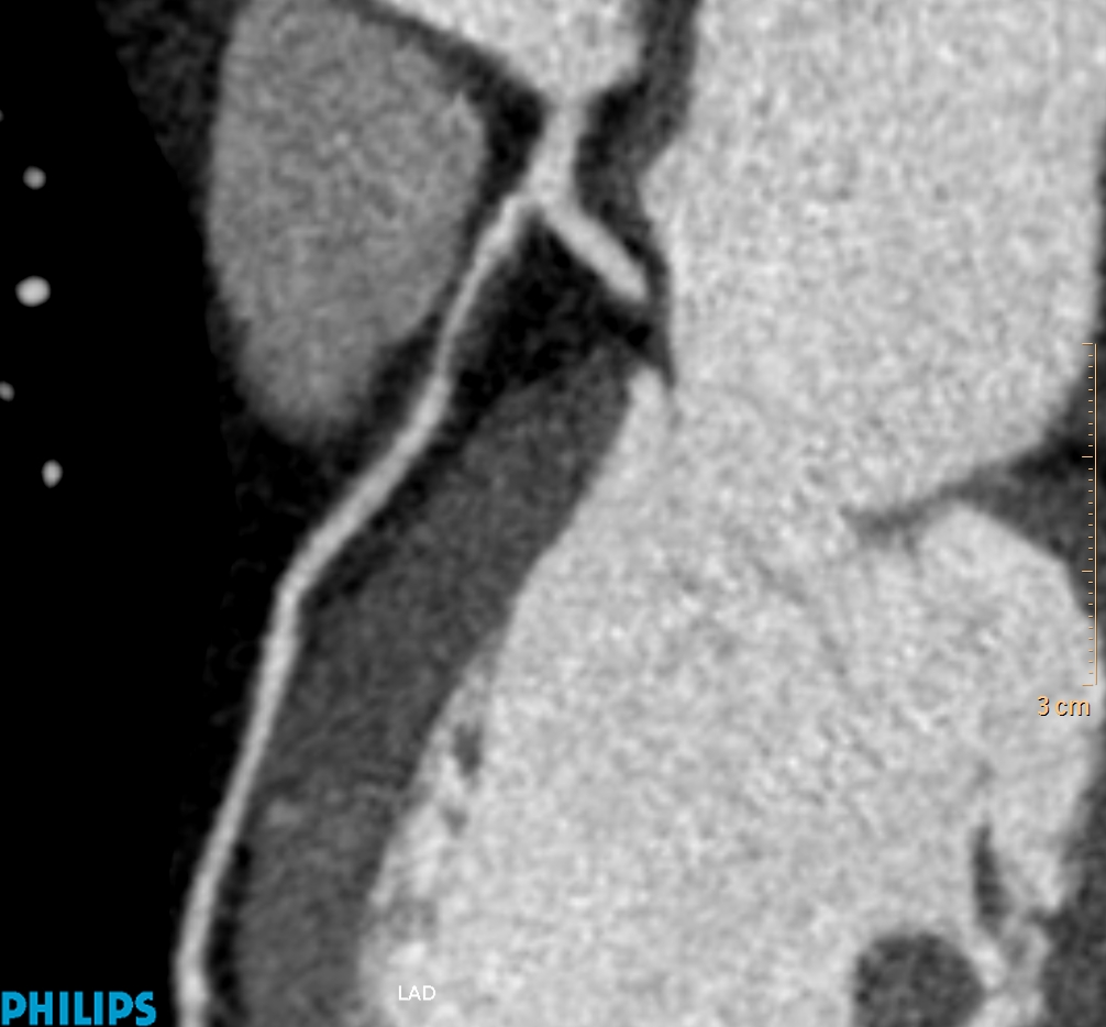
ΑΠΕΙΚΟΝΙΣΤΙΚΟΣ ΕΛΕΓΧΟΣ

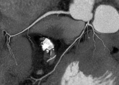
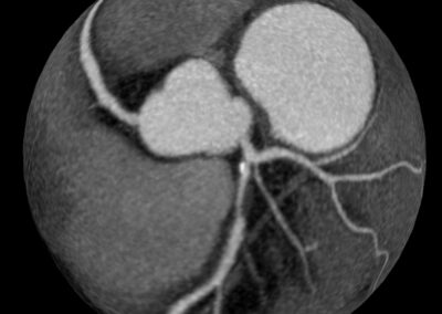
Τρισδιάστατη και δισδιάστατη απεικόνιση των στεφανιαίων αγγείων όπου διακρίνεται σημαντική στένωση λίγο μετά την έκφυσή του πρόσθιου κατιόντα κλάδου

ΣΥΖΗΤΗΣΗ