ΚΛΙΝΙΚΑ ΣΤΟΙΧΕΙΑ – ΙΣΤΟΡΙΚΟ

προκάρδιο άλγος σε ασθενή που έχει υποβληθεί σε τοποθέτηση stent στην δεξιά στεφανιαία αρτηρία

ΕΡΓΑΣΤΗΡΙΑΚΟΣ ΕΛΕΓΧΟΣ

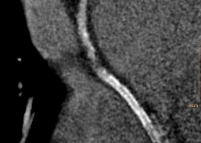
ΑΠΕΙΚΟΝΙΣΤΙΚΟΣ ΕΛΕΓΧΟΣ

στεφανιογραφία στον αξονικό τομογράφο.

Τρισδιάστατη και δισδιάστατη απεικόνιση των στεφανιαίων αγγείων όπου διακρίνεται σημαντικότατη στένωση της δεξιάς στεφανιαίας αρτηρίας λίγο πριν το προϋπάρχον stent, το οποίο απεικονίζεται φυσιολογικά βατό

ΣΥΖΗΤΗΣΗ